
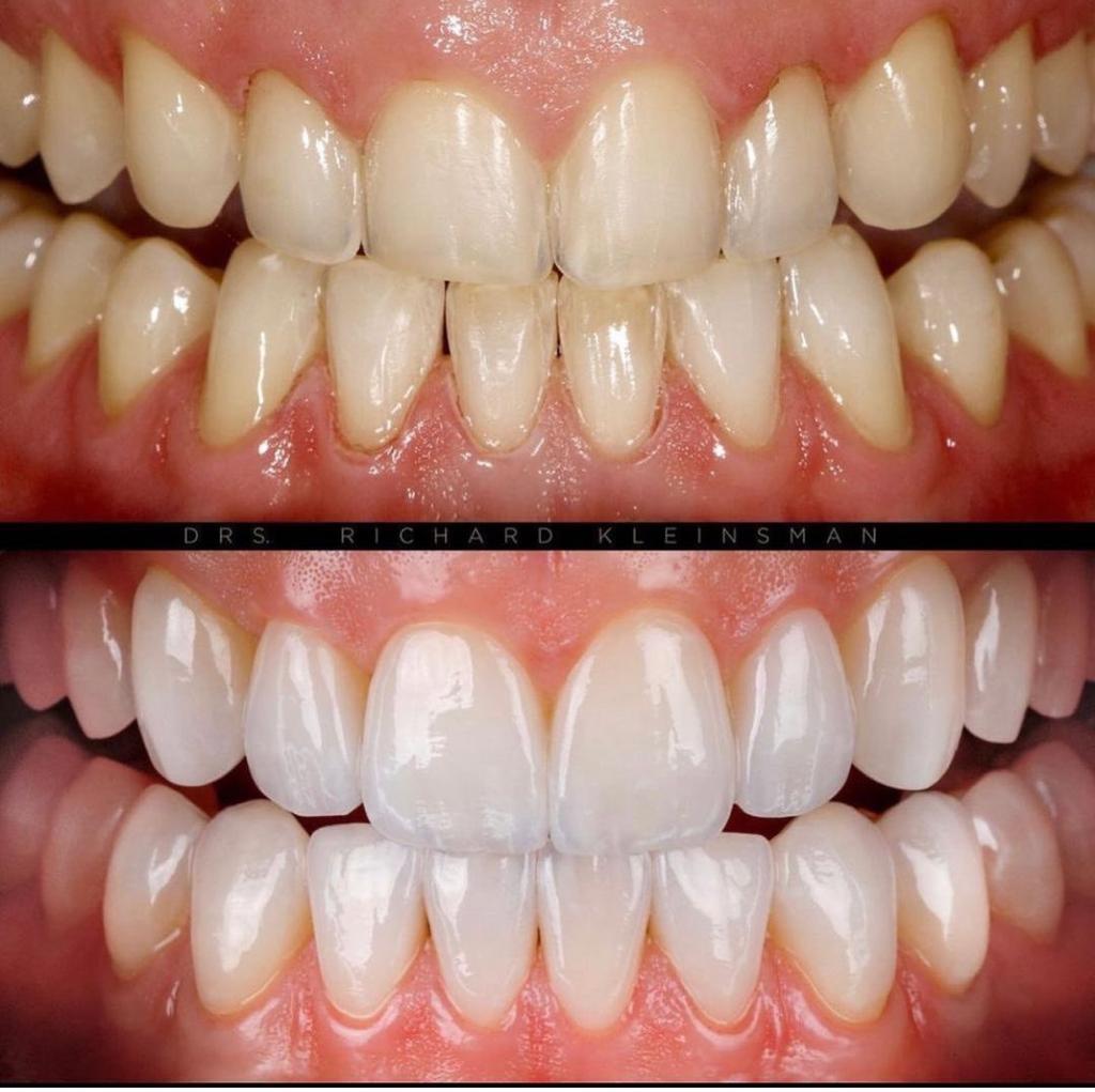
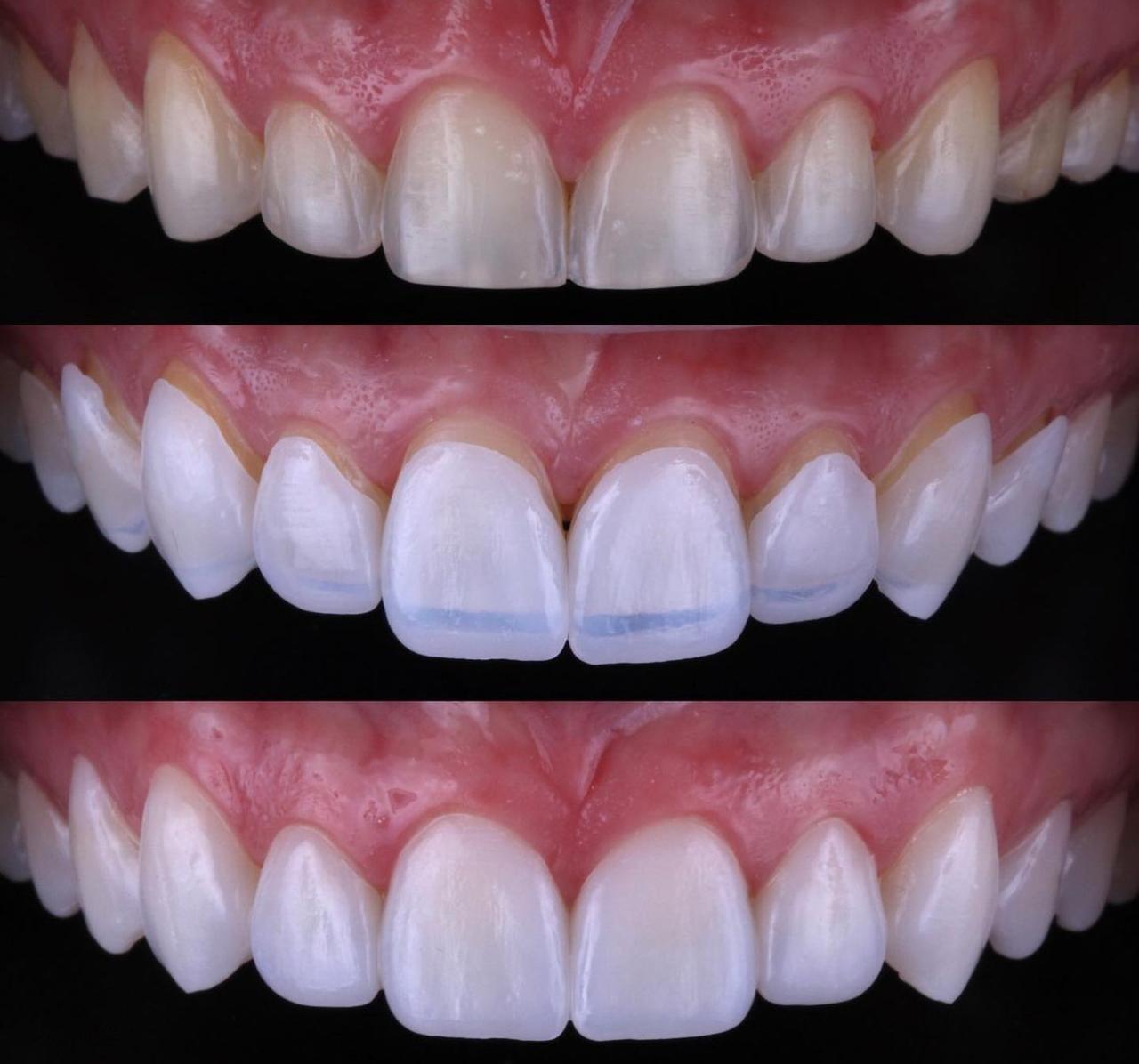
Harmonização Facial: Questões Frequentes
Amplamente popularizada entre 2017 e 2019, a harmonização facial visa equilibrar e harmonizar traços faciais com o auxílio de procedimentos estéticos cirúrgicos e não cirúrgicos que podem incluir: Aplicação de











